Kedilerde Yüksekten Düşme Sendromu Nedir?

kedilerde yüksek düşme sendromu nedir? nasıl önüne geçilir?
kedilerde yüksekten düşme sendromu belirtileri
Camda karar aşamasında olan iki kedi dostumuza “merhaba” diyelim.

Kedilerde Yüksekten Düşme Sendromu Nedir?

Kedilerde yüksekten düşme sendromu, kedilerin bir binanın ikinci katından veya daha yüksek bir yerden düşmeleri sonucu oluşan yaygın yaralanmaları ifade eder. Bu yaralanmalar arasında göğüs travması, şok , baş ve yüz yaralanmaları ve uzuv kırıkları bulunur.

“Kedilerde Yüksekten Düşme Sendromu” terimi, 1980’lerde New York’taki veterinerler tarafından ortaya atıldı. İlginç bir olguyu fark ettiler: Kediler çok yüksekten düşmelerden sağ kurtuluyor gibiydi. Veterinerler, bu kedilerin çoğunda aynı üç yaralanma tipini gözlemlediler. Genel olarak, bu hastaların hayatta kalma oranları yüksekti; hatta bazı kediler 32 kata kadar yüksekten düşse bile.

Kediler, düşerken ayakları önde olacak şekilde yere inmelerini sağlayan özel bir yeteneğe sahiptir. Havada dönerek vücutlarını bükebilir ve hızla doğrulabilirler, ardından tıpkı bir paraşütçü gibi sırtlarını kamburlaştırarak sürtünmeyi artırabilir ve düşüşlerini yavaşlatabilirler. Buna “doğrulma refleksi” denir.

Yedinci kattan daha yüksek mesafelerden düşen kediler, daha kısa mesafeden düşenlere göre daha az yaralanır. Araştırmacılar, bunun nedeninin, ortalama büyüklükteki bir kedinin yedinci kattan (yaklaşık 21 metre) sonra son hıza ulaşması, yani hızlanmayı bırakması olduğunu düşünüyor. Kediler vücutlarını gevşetebilir, böylece yere düştüklerinde daha az gergin olurlar ve bu da daha az yaralanmaya neden olur.

Yüksekten düşme sendromu, riskten daha fazla hoşlanan genç kedilerde ve apartman pencerelerinin açık olma olasılığının daha yüksek olduğu sıcak havalarda daha yaygındır.

Kedilerin %90’ı yüksek bir binadan düşse bile hayatta kalabiliyor, ancak bu kedilerin yaklaşık üçte biri veteriner yardımı olmadan hayatta kalamıyor. Bu araştırmadan çıkarılacak iki önemli sonuç var:

  1. Kediniz çok yüksek bir mesafeden (örneğin 30 kat veya daha yüksek) düşmüş olsa bile, düşüşün ölümcül olduğunu varsaymayın. Veteriner bakımıyla kedinizin hayatta kalma olasılığı yüksektir.
  2. Kediniz düştüyse, derhal en yakın veteriner kliniğine götürün. Bu kedilerde meydana gelen ve tedavi edilmesi gereken birkaç yaygın yaralanma vardır.

Kedilerde Yüksekten Düşme Sendromunun Belirtileri

Kedilerde yüksekten düşme sendromunun belirtileri şunlardır:

  • Nefes almada zorluk
  • Nefes nefese olma hali
  • İlgisizlik
  • Soluk diş etleri
  • Soğuk vücut sıcaklığı
  • Topallık
  • Ağızdan kan gelmesi
  • Kırık dişler
  • Yüz travması
  • Uzuvlarda şekil bozukluğu, şişlik veya ağrı

Eğer kediniz düşmeden sonra farklı sesler çıkarmaya başladıysa, Kedi Sesleri ve Anlamları yazımıza göz atarak hangi davranışın neye işaret ettiğini anlayabilirsiniz.

Kedilerde Yüksekten Düşme Sendromunun Nedenleri

Kediler, kuşların uçuşunu izlemek için pencere pervazlarında oturmayı severler. Pencerede sineklik yoksa bu durum tehlikeli olabilir. Kedi ürkerse veya uykuya dalarsa düşebilir.

Genç kediler ve yavru kediler daha meraklı, aktif ve maceracı olma eğilimindedir ve bu da onları sınırlarını zorlamaya yöneltir. Ayrıca, yaşlı kedilerde var olan tehlikelerle ilgili deneyime sahip olmadıkları için yüksekten düşme sendromu mağdurlarının daha büyük bir bölümünü oluştururlar.

Kediler Yüksekten Düştüğünde Ne Olur?

Yüksekten düşen kedilerin %96’sı hayatta kalmaktadır fakat vücutlarında farklı lezyonlar oluşabilir. Kediler yüksekten düşerken kendilerini dengeleyerek dört bacakların üstüne düşmeye çalışırlar. Genelde ilk katlar daha az tehlikeli gibi gözükse de eğer kediler ters bir pozisyonda düştüyse kendilerini düzeltme fırsatı bulamayabilirler ve ters düşerek daha fazla hasar alabilirler.

kedilerde yüksekten düşme sendromu belirtileri
Kedilerin düştükleri yükseklik ile aldıkları hasar oran tablosu

İkinci kattan sonra kendilerini daha rahat toparlayabilirler ve dört ayaklarının üstüne düşerler. Ayakların üstüne düşerken ayakları dümdüz olmaz. Yavaşlamak ve düştüğünde dengeyi sağlamak için ayaklarını biraz yana doğru açarlar. Bu sebeple kat sayısı arttıkça düşüşleri hızlananan kediler yere çaptıklarında ayakları açılarak göğüslerini ve çenelerini vurabilirler. Bu yüzden en çok görülen hasarlar bacaklarda(ekstremite), göğüs bölgesinde(toraks) ve baş bölgesindedir.

Bazı durumlarda omurga bütünlüğünde bozulma, iç kanama, beyin travması ve idrar kesesinin patlaması şekillenebilir. Bütün bu durumlar hızlıca müdahale edilmesi gereken durumlardır bu yüzden vakit kaybetmeden veterinere hekime gitmek gerekmektedir.

kedilerde yüksekten düşme sendromu belirtileri
Yüksekten düşen kedilerin aldıkları hasar olasılıklarını gösteren tablo

Yapılan bir araştırmalarda; 132 tane yüksekten düşme vakasında (Düşen kedilerin yaş ortalaması 2.7)

  • %90’ında değişik derecelerde toraks travması
  • %63’ünde pnömotoraks
  • %57’sinde fasiyal travma
  • %39’unda ekstremite kırığı
  • %24’ünde şok
  • %18’inde travmatik luksasyonlar
  • %17’sinde sert damak kırığı
  • %17’sinde dental kırıklar
  • %17’sinde hipotermi

gözlenmiştir.

Berlin Veteriner Kliniği’nin analizinde 1125 vaka incelendi, sonuçlara göre kedilerin %58’i göğüs travması, %47’si uzuv kırıkları ve %2.8’i kafa travması yaşamış; hayatta kalma oranı %87 olarak raporlanmış

Ortaya çıkan bu durumların bazıları operatif müdahaleye ihtiyaç duyarken bazıları sadece medikal tedavi ile veya kendiliğinden zamanla düzelebilmektedir.

Kedilerde Yüksekten Düşme Sendromunu Nasıl Teşhis Edilir?

Yüksekten Düşme Sendromu, iki kattan fazla yükseklikten düşme öyküsüne dayanarak teşhis edilir. Yüksekten Düşme Sendromu teşhisinin ardından, veterineriniz kedinizde hangi iç ve dış yaralanmaların olduğunu bulmak için birkaç test yapmak isteyecektir.

Veteriner hekiminiz kapsamlı bir fiziksel muayene yaptıktan sonra röntgen çekmek isteyecektir.

Ayrıca olası iç kanama olasılıklarını kontrol etmek için ultrason gibi ek görüntüleme yöntemleri de önerebilirler. Genellikle başlangıç olarak kan tahlili önerilir.

Kedilerde Yüksekten Düşme Sendromunun Tedavisi

Kedilerde yüksekten düşme sendromunun tedavisi başlangıçta şok yönetimi ve stabilizasyona odaklanır. Travmadan sonraki ilk 24 saatin ardından tedavi odağı, kırıklar gibi ortopedik yaralanmaların onarılmasına kayabilir.

Yüksekten düşme sendromu olan kedilerin yaklaşık yarısında solunum sıkıntısı görülür; akciğerlerde morarma (pulmoner kontüzyon) ve akciğer çökmesi (pnömotoraks) sık görülen yaralanmalardır. Bu kedilerin oksijen desteğine ihtiyacı olabilir ve oksijen odası bulunan bir yoğun bakım ünitesine yatırılmaları gerekebilir.

Baş ve yüz yaralanmaları da oldukça yaygındır; etkilenen kedilerin çoğunda diş kırılması, sert damak çatlağı (damağın hemen üzerindeki kemik) ve yüz travması görülür.

Eğer bu yaralanmalar kedinin yemek yemesini engelleyecek kadar kötü ise, iyileşene kadar geçici olarak bir beslenme tüpü yerleştirilmesi gerekebilir.

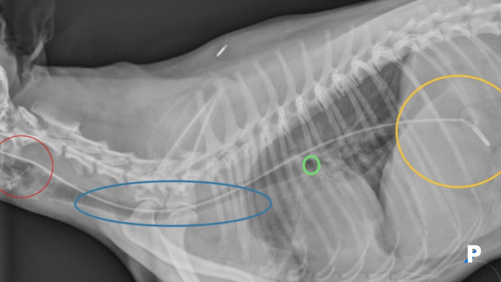
kedilerde yüksekten düşme sendromu belirtileri
Tüp ile beslenen bir kedinin yanal filmi

Kırık bacaklar veya çıkık (eklemden çıkmış) kalça, omuz veya dirsekler gibi ortopedik yaralanmalar da yaygındır.

Yüzeysel yaralar iyice temizlenmeli , kemik yaralanmaları sabitlenmeli ve bandajlanmalıdır. Ortopedik cerrahi uygulamaları gerekebilir.

Kedilerde Yüksekten Düşme Sendromunun İyileşmesi ve Yönetimi

Kedinizin hayvan hastanesinden taburcu olduktan sonra zihinsel aktivitesini, yiyecek/su tüketimini ve dışkı/idrar çıkışını yakından takip edin.

Kediler burunlarından nefes alırlar, bu nedenle nefes nefese kalma genellikle solunum sıkıntısı belirtisi olarak kabul edilir. Kediniz nefes nefese kalıyorsa, onu hemen en yakın veterinere götürün. Bazen akciğer kontüzyonları (akciğerlerde morarma) travmadan sonraki 48 saat içinde kötüleşebilir.

İyileşme sürecinde stresi yönetmek önemlidir. Kedinize, ihtiyaç duyduğu tüm kaynaklara kolayca erişebileceği rahat ve sessiz bir dinlenme alanı sağlayın. Yüzünde veya dişlerinde herhangi bir travma varsa, yumuşak mama diyeti gerekebilir.

Kedinizde ortopedik yaralanmalar varsa, büyük olasılıkla sıkı aktivite kısıtlaması uygulanacaktır. Bu, etkilenen uzuvların aşırı kullanımını önlemek için kedinizi küçük bir banyoya veya büyük bir köpek kulübesine yerleştirmeyi gerektirebilir. Girişi alçak veya rampalı tuvaletler, kedinizin girip çıkması için faydalı olabilir.

kedilerde yüksekten düşme sendromu belirtileri
Kediler düşerken nasıl görünür?

Kedilerde Yüksekten Düşme Sendromunun Önlenmesi

Neyse ki, kedinizin açık pencerelere erişimini engelleyerek yüksekten düşme sendromunun önüne geçebilirsiniz.

  • Pencere sinekliklerinin düzgünce yerinde olduğundan emin olun, yıpranmalar ya da delik veya boşluklar olması durumunda değiştirin.
  • Eğer sinekliğiniz yoksa pencerelerinizi kapalı tutun.
  • Kedinin yüksekte olan bir pencereye erişmesine olanak sağlayacak mobilyaları kaldırın.
  • Balkon kapılarını kapalı tutun veya balkonunuza sineklik taktırın.
  • Kedinizin kuşları gözlemleyebileceği güvenli bir alan sağlamak için bir kedi kafesi kurmayı planlayın.

Kedilerde Yüksekten Düşme Sendromu Hakkında Sıkça Sorulan Sorular

Kediler çeviklikleriyle tanınsalar da yüksekten düşmeler ciddi yaralanmalara neden olabilir. Bu nedenle, evinizde küçük bir pencere bile açık olsa mutlaka önlem alın; kedinizin sağlığı bir anlık dikkatsizliğe bağlı olmamalı.

Evcil dostlarımızın sağlığı ve güvenliği için dikkatli olmak kadar, doğru bilgiye ulaşmak da önemlidir. Kedinizin davranışları, sağlığı ve günlük bakımı hakkında daha fazla bilgi için Pethway Blog’u ziyaret edebilir, uzman görüşleri ve pratik ipuçlarıyla donatılmış içeriklerimize göz atabilirsiniz.

Unutmayın, bilinçli bir sahip olmak; sevdiklerinizin yaşamını korumanın ilk adımıdır.

Sevgiler, Pethway ekibi. 💙


Scroll to Top